한국에서 3배나 증가했다…시작되면 생존할 수 없는 '이 증상'
2025-10-20 19:11
add remove print link
고령화와 함께 커지는 혈관의 위험
조용히 자라는 생명의 시한폭탄
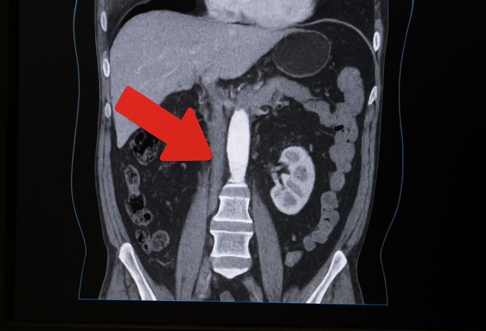
복부 대동맥류는 배 속의 가장 큰 혈관인 대동맥 일부가 약해지면서 풍선처럼 부풀어 오르는 질환이다.
겉으로 보이는 증상이 거의 없어 ‘조용한 시한폭탄’이라 불리지만, 한 번 파열되면 대량 출혈로 이어져 생명을 잃을 수 있다. 최근 10여 년 사이 국내 복부 대동맥류 환자가 급격히 늘었다는 분석 결과가 나오며, 고령화 사회에서 그 위험성이 다시 주목받고 있다.
◆ 고령화와 흡연, 질환 증가의 주된 원인
복부 대동맥류는 주로 혈관 벽이 약해지면서 생긴다. 노화, 흡연, 고혈압, 고지혈증, 동맥경화 등이 주요 원인이다. 특히 흡연은 혈관 내막을 손상시켜 대동맥의 탄력을 떨어뜨리고, 염증 반응을 일으켜 병을 빠르게 진행시킨다. 가족력이 있는 경우에도 위험도가 높다. 국내에서는 남성이 여성보다 약 4~6배 많이 발병하는데, 주로 70세 이상 고령층에서 발견된다.

문제는 대부분의 환자에게 증상이 거의 없다는 점이다. 대동맥이 서서히 늘어나도 통증이 없기 때문에 조기에 발견하기 어렵다. 간혹 복부나 허리, 등 부위의 통증을 느끼거나, 배에서 쿵쿵 뛰는 박동이 느껴지기도 한다. 그러나 이런 증상은 이미 대동맥이 많이 부풀었거나 파열 직전인 경우가 많다.
◆ 13년 사이 환자 3배 증가
최근 강동경희대학교병원 연구팀이 2010년부터 2022년까지 국민건강보험공단 자료를 분석한 결과, 복부 대동맥류 환자 수는 약 4000명에서 1만3000명으로 3배 이상 늘었다. 특히 파열되기 전에 발견된 ‘비파열 대동맥류’ 환자가 대부분이었으며, 같은 기간 크게 증가했다. 연구진은 인구 고령화가 주된 요인으로 작용했다고 분석했다.
연령대별로 보면 70대가 가장 많았고, 80세 이상 초고령층에서도 꾸준히 증가하는 추세를 보였다. 이 같은 흐름은 고령화 사회가 본격화되면서 향후 유병률이 더 높아질 수 있음을 예고한다.
◆ 스텐트 시술로 생존율 향상
복부 대동맥류는 자연적으로 회복되지 않기 때문에 근본적인 치료를 위해서는 수술이 필요하다. 전통적인 개복수술은 배를 절개해 손상된 대동맥 부위를 인공 혈관으로 대체하는 방식이다. 수술 시야가 넓어 장기적으로 안정성이 높지만, 회복 기간이 길고 고령 환자에게는 부담이 크다.
이에 비해 최근에는 스텐트 시술(EVAR)이 급속히 보급되고 있다. 사타구니 혈관을 통해 인공 혈관이 연결된 스텐트를 삽입하는 방법으로, 절개 범위가 작고 회복이 빠르다. 고령자나 기저질환자에게도 비교적 안전하게 적용할 수 있어, 지난 10여 년간 사용 빈도가 크게 늘었다.
실제로 연구에 따르면 스텐트 시술 건수는 2.6배 이상 증가해 2011년 이후 개복수술보다 많아졌다. 비파열 대동맥류 환자의 사망률도 같은 기간 1.4%에서 0.7%로 절반 가까이 낮아졌다. 특히 80세 이상 고령자에게서 시술 비율이 2010년 14.5%에서 2022년 30% 이상으로 늘어났다. 이는 스텐트 시술이 생존율 향상에 실질적인 도움을 주고 있음을 시사한다.

◆ 파열 후에는 생존이 어렵다
복부 대동맥류의 가장 큰 위험은 ‘파열’이다. 대동맥이 터지면 순식간에 대량 출혈이 발생해, 환자의 절반 이상이 병원에 도착하기도 전에 사망한다. 실제로 파열된 환자의 사망률은 여전히 약 35% 수준으로, 지난 10년간 큰 변화가 없었다. 이미 터진 뒤에는 치료가 어렵기 때문이다.
따라서 무엇보다 중요한 것은 조기 진단이다. 증상이 없더라도 고위험군이라면 정기적인 검사를 받아야 한다. 복부 초음파 검사는 간단하면서도 정확도가 높아 대동맥류의 크기와 위치를 쉽게 확인할 수 있다. 파열 전 발견해 치료하면 사망 위험을 절반으로 줄일 수 있다는 연구도 있다.
◆ 생활습관 개선이 최고의 예방책
복부 대동맥류는 완전한 예방법이 없지만, 위험 요인을 줄이는 것이 최선이다. 특히 흡연은 가장 강력한 발병 요인이므로 반드시 금연해야 한다. 고혈압이나 고지혈증, 당뇨병 등 만성질환이 있다면 꾸준한 약물 치료와 식이 조절이 필수다. 포화지방이 많은 음식보다는 채소, 생선, 통곡물을 중심으로 한 식단이 도움이 된다.
규칙적인 유산소 운동도 혈관 건강을 유지하는 데 중요하다. 다만 지나친 근력 운동은 복부 압력을 높여 대동맥에 부담을 줄 수 있으므로 주의가 필요하다.
복부 대동맥류는 소리 없이 자라지만, 한순간에 생명을 앗아갈 수 있다. 증상이 없다고 방심하지 말고, 특히 65세 이상 남성이나 흡연 경험이 있는 사람이라면 정기적인 검진을 생활화하는 것이 안전하다. 조기에 발견하고 적절히 치료한다면 ‘조용한 시한폭탄’은 충분히 무력화할 수 있다.