“갑자기 머리가 깨질 듯 아프다면?” 생사를 가르는 뇌출혈의 경고 신호
2025-11-09 22:24
add remove print link
단순한 두통의 위험, 숨겨진 뇌출혈의 공포
침묵의 살인자 뇌출혈, 생명을 위협하는 순간
뇌출혈은 뇌 속 혈관이 터지면서 뇌조직 안에 피가 고이는 질환이다.
전체 뇌졸중 환자의 약 15%를 차지하지만, 사망률은 가장 높다. 문제는 증상이 갑자기 찾아오고, 단 몇 분 사이에 의식이 사라질 수도 있다는 점이다. 뇌출혈은 고혈압, 뇌동맥류 파열, 외상, 뇌혈관 기형 등 다양한 원인으로 발생한다. 혈관이 약해진 상태에서 혈압이 순간적으로 상승하거나, 뇌혈관 벽이 퇴행성 변화로 약해지면 쉽게 터질 수 있다. 고령층, 흡연자, 음주자, 고혈압 환자에게서 특히 위험이 높다. 최근에는 스트레스와 불규칙한 생활습관, 과도한 카페인 섭취도 위험 요인으로 지목되고 있다.

◆ 뇌출혈의 주요 원인, 고혈압과 혈관 노화
뇌출혈의 가장 흔한 원인은 만성 고혈압이다. 혈압이 높으면 혈관 벽이 지속적으로 압력을 받아 약해지고, 결국 터질 가능성이 커진다. 특히 혈압을 관리하지 않는 중장년층에게 위험이 집중된다. 또 혈관이 노화로 인해 탄력을 잃으면 작은 충격에도 파열될 수 있다. 머리를 세게 부딪히지 않아도, 순간적인 혈압 상승으로 혈관이 터지는 사례가 적지 않다. 일부는 유전적 요인으로 뇌동맥류(혈관 벽이 부풀어 오른 주머니 형태의 병변)가 생기고, 이 부위가 파열되면서 출혈이 발생하기도 한다.
◆ 뇌출혈 전조 증상, 몸이 보내는 ‘비상 신호’
뇌출혈은 전조 없이 갑자기 발병하는 경우가 많지만, 일부는 몸이 경고 신호를 보낸다. 대표적인 증상이 극심한 두통이다. 평소 경험하지 못한 통증이 머리 한쪽에서 시작돼 번지는 듯하거나, ‘망치로 얻어맞는 듯한’ 통증이 나타나면 즉시 병원을 찾아야 한다. 또 어지럼증, 구토, 갑작스러운 시야 흐림, 팔·다리의 힘 빠짐, 말을 더듬는 증상도 초기 신호일 수 있다. 특히 뇌동맥류가 서서히 커지고 있는 경우에는 두통과 함께 목의 뻣뻣함, 눈 주위 통증이 동반되기도 한다. 이러한 증상을 단순 피로로 넘기면 돌이킬 수 없는 결과를 초래할 수 있다.
◆ 뇌출혈이 발생했을 때 나타나는 징후
뇌출혈이 실제로 발생하면 증상은 순식간에 심해진다. 갑작스러운 의식 저하, 한쪽 팔·다리 마비, 언어장애, 안면 마비, 구토와 경련이 동반될 수 있다. 출혈 부위에 따라 증상이 다르게 나타나는데, 좌측 대뇌에서 출혈이 생기면 우측 팔다리가 마비되고, 반대로 우측 뇌출혈은 좌측 마비를 유발한다. 소뇌 출혈의 경우 균형감각이 무너지고, 시야가 흔들리는 느낌을 받을 수 있다. 가장 위험한 경우는 지주막하 출혈로, 혈관이 터진 피가 뇌 전체로 퍼지며 의식이 급격히 저하되고 심한 구토나 경련이 동반된다. 응급처치가 늦으면 사망률이 급격히 높아진다.

◆ 생존 가능성과 치료
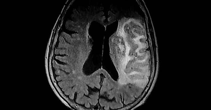
뇌출혈의 생존율은 출혈의 크기와 부위, 발견 시점에 따라 달라진다. 일반적으로 출혈량이 30㎖ 이상이면 예후가 좋지 않으며, 뇌간(숨뇌) 부위 출혈은 생명 유지 기능을 직접적으로 위협한다. 초기 대응이 무엇보다 중요하다. 증상이 의심되면 즉시 119에 연락하고, 환자를 눕힌 상태로 움직이지 않게 해야 한다. 머리를 약간 높게 유지해 뇌압 상승을 막는 것도 도움이 된다. 병원에서는 CT나 MRI를 통해 출혈 위치와 정도를 확인한 뒤, 수술이나 약물치료로 뇌압을 조절하고 추가 출혈을 막는다. 수술이 불가능한 경우라도 집중치료실에서 혈압 조절과 산소 공급, 체온 조절을 통해 생명을 유지할 수 있다.
◆ 뇌출혈 후 회복과 재활
생존 후에도 뇌출혈 환자의 절반 이상은 신체적 또는 인지적 후유증을 겪는다. 팔다리 마비, 언어장애, 시야 결손, 기억력 저하, 성격 변화 등이 대표적이다. 재활치료는 가능한 한 조기에 시작해야 하며, 물리치료와 작업치료를 병행하면 회복 가능성을 높일 수 있다. 재발 방지를 위해 혈압을 꾸준히 관리하고, 금연·절주·저염식 식단을 유지하는 것이 필수다.
◆ 뇌출혈 예방법, 생활 속 관리가 핵심
가장 확실한 예방법은 혈압 관리다. 성인은 정기적으로 혈압을 측정해 120/80mmHg 이하를 유지하는 것이 좋다. 나트륨 섭취를 줄이고, 규칙적인 유산소 운동으로 혈관 탄력을 높인다. 금연과 절주는 기본이며, 특히 고혈압약 복용자는 임의로 약을 중단하지 말아야 한다. 평소 두통이 잦거나 가족 중 뇌졸중 병력이 있다면 정기적으로 뇌 MRI 검사를 받아 조기 이상을 확인하는 것이 안전하다.
◆ 단 한 번의 방심이 생사를 가른다
뇌출혈은 예고 없이 찾아오는 치명적 질환이지만, 대부분 예방 가능한 생활습관병이다. 한순간의 두통을 가볍게 여기지 말고, 몸이 보내는 신호에 귀 기울이는 태도가 필요하다. 조기 인식과 신속한 대응이 뇌출혈로부터 생명을 지키는 가장 확실한 방법이다.